
Na Clínica Santa Apolonia ajudar a controlar o Bruxismo.

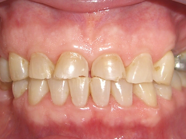
Causa a destruição constante dos dentes e serviços odontológicos e agrava as doenças periodontais.

O Bruxismo também pode predispor à disfunção nos músculos mastigatórios, dor na articulação da mandíbula, dor facial, de cabeça, e alterações na língua e mucosas.
O tipo mais conhecido é o Bruxismo do sono, ocorre durante o sono. Fortes contrações involuntárias da musculatura mastigatória que fazem bater os dentes uns nos outros, causando ruídos, fraturas, e desgastes dentais.
O Bruxismo do sono ocorre em qualquer idade mas também é comum na infância pelos surtos de desenvolvimento ou por distúrbios respiratórios do sono infantis que precisa ser investigado.
O Bruxismo do Sono pode ser causado por apneia do sono e requer uma placa de mordida especial para apneia e bruxismo.
0 Bruxismo em vigília, BV é hábito de apertar ou raspar os dentes quando se está acordado. durante os momento de estresse ansiedade e concentração sem que a pessoa perceba.
O Bruxismo da vigília ocorre em 20% da população, ligado ao estresse e a ansiedade tem outros fatores predisponentes como drogas estimulantes, a cafeina , certos medicamentos e etc.
O dentista por meio de um exame clínico e exame apurado das arcadas dentárias, identifica os fatores que contribuem para o Bruxismo, e elabora um plano de tratamento de acordo com cada paciente.
São diversas opções de tratamento do Bruxismo e os menos invasivos são os mais indicados. O tratamento odontológico, que consiste basicamente na utilização de placas intraorais de uso noturno, orientações clínicas e farmacoterapia, com a utilização de medicamentos antidepressivos, relaxantes musculares, em casos selecionados.
As orientações clínicas comportamentais, incluem técnicas de relaxamento, para o tratamento da ansiedade, do estresse, e do hábito de apertar e ranger os dentes.
A aplicação de toxina botulínica é invasiva e de efeito temporário mas pode ser usadas em casos graves.
Muitas vezes o Bruxismo da Vigília ocorre junto com o Bruxismo do sono, o dentista habilitado, verifica se existem distúrbios do sono e procede o tratamento destes distúrbios.
Além disso, as terapias alternativas, como acupuntura, homeopatia e fitoterapia e até mesmo a hipnoterapia podem ser úteis.

x
x
É necessário considerar o Bruxismo no planejamento de todo serviço odontológico