Frenectomia
As Cirurgias dos freios bucais, frenectomia, restabelece a anatomia normal da região. Fecha o espaço anormal entre os dentes, e também libera a língua, lábios e bochechas para permitir a livre movimentação e colocação de próteses.

Santa Apolônia – Odontologia
Implantes e Cirurgia Oral
Clínica Geral, Implantologia,Periodontia, Reabilitação
Frenectomia do freio labial hipertrófico
O freio labial superior é representado por tecido conjuntivo, fibroso contendo na sua porção central capilares linfáticos e nervos, não existindo, praticamente, nenhuma fibra muscular.

Quando o freio labial se aproxima da margem gengival, este pode exercer tensão direta sobre a gengiva marginal e favorecer ou contribuir para o agravamento de doenças periodontais, interferir no movimento do lábio, no posicionamento dos dentes, na oclusão, na estabilidade protética, na mímica facial e na fonação
O freio labial hipertrófico é uma entidade relativamente comum na clínica odontológica e de fácil diagnóstico.
A resolução cirúrgica dos casos também pode ser facilitada, à medida em que se observam os critérios de necessidades e oportunidade, além do domínio de técnica cirúrgica apropriada para cada caso.
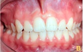
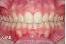
Caso 1
Freio Labial com divergência dos incisivos

Resolução do caso após a cirurgia

≈
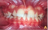
Caso 2
Quando se distende o freio labial e, como conseqüência desta manobra, surge uma área isquêmica na região da papila incisiva, deve-se suspeitar do envolvimento do freio, em caso de diastema inter-incisal.
Mesmo caso após a cirurgia no tempo oportuno

O tratamento do freio hipertrófico é cirúrgico e a época mais oportuna para este procedimento é quando os caninos apresentarem-se pelo menos com a metade de suas respectivas coroas expostas na cavidade bucal. A força eruptiva, neste momento clínico, favorece o fechamento do diastema.
Ainda o caso 1

Já os casos patológicos, com disturbios imediatos e de certa gravidade, exigem intervenção imediata do profissional, independente do estágio de desenvolvimento do paciente.
Neste contexto, considera-se a divergência do longo eixo das coroas dos incisivos centrais, problemas periodontais decorrentes da impacção alimentar, dificuldade de higienização, a estética e o desenvolvimento de hábitos bucais deletérios como quesitos que mereciam atenção imediata.