Santa Apolônia – Odontologia - Implantes e Cirurgia Oral
Clínica Geral, Implantologia, Periodontia, Reabilitação
R. Nove de Julho 2130 Emergências: 9112 5383
Dentes do Siso ou Terceiros Molares
Dentes do siso são os últimos molares a surgirem na boca. O sua erupção, “nascimento”, acontece dos 17 aos 20 anos de idade.
Entretanto, alguns não aparecem na boca, permanecem inclusos por mais tempo ou por toda a vida.
Os, dentes do siso podem gerar de mau hálito a dores fortes (infecções), portanto necessitam de uma atenção especial!
Quantos dente do Siso existem?
Existem quatro dentes do siso: dois superiores, direito e esquerdo, e dois inferiores, também direito e esquerdo. O nome mais apropriado para os dentes do siso é 3ºmolar. Podem existir, raramente, até 4ºs molares!
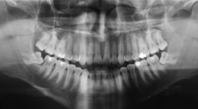
Radiografia Panoramica , com 7 dentes do Sisos!
Quando o apenas uma parte do dente aparece na gengiva, além da perda da função, infecções podem ocorrer - devido à dificuldade do paciente em limpar a área-, e estas são extremamente dolorosas.
Cáries no dente do siso e no dente vizinho a ele também podem gerar dor e desconforto, além da perda de estrutura dentária.

A proximidade do siso com o 2º molar (dente vizinho) pode produzir reabsorções nas raízes deste; também podem ocorrer transtornos dolorosos ao paciente e possíveis degenerações (lesões císticas).
Se o paciente pretende manter seu dente incluso, a fim de evitar a manobra cirúrgica de extração, ele deve estar ciente da necessidade do acompanhamento clínico e radiográfico do caso, por parte de um cirurgião dentista para certificar que este dente incluso não esta comprometendo as raízes próximas e o osso ao seu redor.

A proximidade do siso com o 2º molar (dente vizinho) pode produzir reabsorções nas raízes deste; também podem ocorrer transtornos dolorosos ao paciente e possíveis degenerações (lesões císticas).
Se o paciente pretende manter seu dente incluso, a fim de evitar a manobra cirúrgica de extração, ele deve estar ciente da necessidade do acompanhamento clínico e radiográfico do caso, por parte de um cirurgião dentista (para certificar que este dente incluso não esta comprometendo as raízes próximas e o osso ao seu redor.

A sua extração está indicada na ausência de espaço para a erupção, no posicionamento horizontal do siso, nos quadros de dor e quando se inicia a erupção e esta não se completa, ou seja, há erupção parcial do siso. Quando se faz a extração de um dos sisos inferiores, também poderá ser indicada extração do superior (do mesmo lado) e vice-versa, pois a presença isolada de um deles pode provocar uma desarmonia na mordida.
Quando este se apresentar saudável, estando ele dentro do osso ou em posição correta na boca. O importante para manter este dente com saúde é visitar regularmente seu cirurgião dentista, para que este faça uma avaliação, e que o paciente faça uma boa higienização do dente!

Algumas vezes estes dentes não aparecem na boca. Duas são as causas: a ausência real deste dente ou a falta de espaço na boca não permite que ele apareça e este permanece incluso, ou seja dentro do osso e gengiva.
Quando o apenas uma parte do dente aparece na gengiva, além da perda da função, infecções podem ocorrer - devido à dificuldade do paciente em limpar a área-, e estas são extremamente dolorosas.

Lembrem-se, dentes do siso podem gerar de mau hálito a dores fortes (infecções), portanto necessitam de uma atenção especial!
DENTES DO SISO PERGUNTAS FREQUENTES
Quantos dentes do siso existem?
Existem quatro dentes do siso: dois superiores, direito e esquerdo, e dois inferiores, também direito e esquerdo. O nome mais apropriado para os dentes do siso é 3ºmolar. Podem existir, raramente, até 4ºs molares!
Em que idade eles normalmente erupcionam?
A erupção (surgimento do dente na boca) ocorre normalmente dos 17 aos 20 anos. São os últimos dentes a “nascer”. Entretanto, alguns não aparecem na cavidade oral, permanecem inclusos por mais tempo ou por toda a vida!
Todo mundo tem o dente do siso?
Não. A ausência deste dente ou até mesmo do 4º molar é interpretada como parte da evolução do corpo humano!
Por que às vezes eles não erupcionam?
Algumas pessoas não possuem mesmo o dente do siso (o germe dental); outro motivo pelo qual o siso não “nasce” é a falta de espaço na arcada dental, ou ainda, pela sua posição horizontal – dente “deitado”.
O que acontece se ele ficar dentro do osso, não nascer?
A proximidade do siso com o 2º molar (dente vizinho) pode produzir reabsorções nas raízes deste; também podem ocorrer transtornos dolorosos ao paciente e possíveis degenerações (lesões císticas).
Se o paciente pretende manter seu dente incluso, a fim de evitar a manobra cirúrgica de extração, ele deve estar ciente da necessidade do acompanhamento clínico e radiográfico do caso, por parte de um cirurgião dentista (para certificar que este dente incluso não esta comprometendo as raízes próximas e o osso ao seu redor).
O que acontece se ele erupcionar parcialmente?
A erupção parcial ocorre geralmente por falta de espaço na arcada ou pela posição horizontal do dente (só aparece a “ponta” do dente na boca). Esse quadro pode provocar gengivites e abscessos na região, irritação local, dor e inchaço. No dente vizinho ele também pode provocar doença periodontal e lesão de cárie. Todos estes problemas se devem à dificuldade que o paciente tem para higienizar este dente e de uma gengiva de baixa qualidade ao redor dele!
É verdade que o dente do siso empurra os outros dentes, provocando mudanças de posição?
Este é um assunto polêmico e de opiniões profissionais divergentes. Porém, é certo que a maioria dos 3°s molares não tem espaço suficiente para nascer, e a sua remoção conjunta com o tratamento ortodôntico (aparelho) irá beneficiar o posicionamento dos outros dentes.
Quando a gengiva do dente do siso que está erupcionando inflama, o que fazer?
O paciente com este problema pode ter dor forte, que irradia por toda região! Para solucioná-lo, o paciente deve procurar um cirurgião dentista e realizar o tratamento adequado, eliminando a dor aguda. Somente neste momento poderá ser extraído o dente do siso ou realizada uma curetagem (caso a extração não esteja indicada).
Quando é indicada a extração do siso?
A sua extração está indicada na ausência de espaço para a erupção, no posicionamento horizontal do siso, nos quadros de dor e quando se inicia a erupção e esta não se completa, ou seja, há erupção parcial do siso. Quando se faz a extração de um dos sisos inferiores, também poderá ser indicada extração do superior (do mesmo lado) e vice-versa, pois a presença isolada de um deles pode provocar uma desarmonia na mordida.
Quando é indicado manter o siso?
Quando este se apresentar saudável, estando ele dentro do osso ou em posição correta na boca. O importante para manter este dente com saúde é visitar regularmente seu cirurgião dentista, para que este faça uma avaliação, e que o paciente faça uma boa higienização do dente!
Dentes do Siso empurram outros dentes?
Este é um assunto polêmico e de opiniões profissionais divergentes. Porém, é certo que a maioria destes dentes não tem espaço suficiente para nascer, e a sua remoção conjunta com o tratamento ortodôntico (aparelho) irá beneficiar o posicionamento dos outros dentes.
Santa Apolônia – Odontologia

