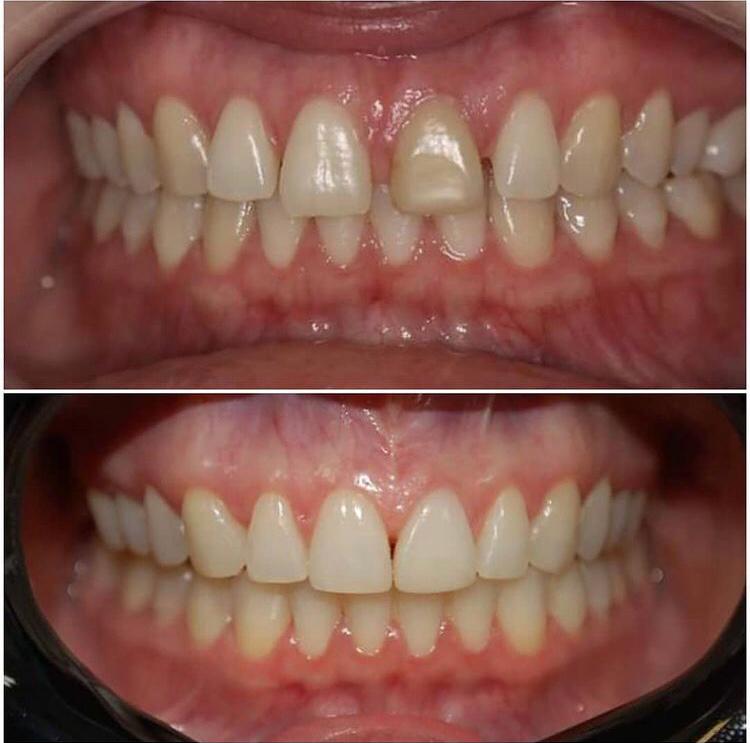
Benefícios da Ortodontia Estética

1. Aumento da autoestima
Pessoas com dentes tortos e apinhados nem sempre aceitam com tranquilidade essa característica. Ela pode incomodar bastante, em especial se o problema estético for expressivo e interferir em sua imagem ou fala, por exemplo.
Por isso, as correções promovidas pela ortodontia estética têm forte impacto positivo na autoestima do paciente. Afinal, é possível corrigir a posição dos dentes, independentemente se eles estão apenas um pouco ou muito desalinhados e assimétricos
2. Valorização do sorriso
Quando os dentes estão desalinhados nem sempre é possível observar sua beleza natural. Ainda que sejam fortes, saudáveis e brancos, quando estão em posições inadequadas, um pouco do seu encanto se perde, porque a assimetria sobressai sobre as características positivas.
Mas quando alinhamos os dentes e cada um ocupa o seu devido lugar, eles se complementam e se harmonizam. Aqui também é possível corrigir assimetrias do tamanho com tratamentos associados à ortodontia, como a colocação de facetas ou lentes de contato. Tudo isso possibilita valorizar os dentes, a boca e todo o conjunto.


3. Melhora do visual
A simetria e harmonia são características que favorecem a beleza, por isso, quando estão em falta, temos impactos negativos para o visual. Em se tratando dos dentes, estamos falando sobre o cartão de visitas de todos nós, que é o sorriso. Ele tem destaque grande em nossa aparência, ganha evidência nas fotografias e nas interações interpessoais, então, precisa estar bonito para valorizar o visual. E com a ortodontia estética se alcança o resultado esperado de dentes perfeitos, que valorizam a imagem.
4. Facilidade para a higiene bucal
Os dentes desalinhados são complicados de escovar, porque ficam em posições desfavoráveis para encaixar as cerdas da escova. Com isso, há mais chances de acúmulo de restos de alimentos e a consequente formação de placa bacteriana, de tártaro, manifestação de mau hálito e ainda de inflamações nas gengivas. Corrigindo a posição dos dentes, se torna mais fácil de escová-los bem como de passar o fio dental.


5. Prevenção de doenças bucais
Como você viu no item anterior, quando a escovação dos dentes é inadequada, eles ficam mais suscetíveis a apresentarem problemas bucais. Por isso, um dos mais importantes benefícios da ortodontia estética é a prevenção das doenças da boca.
Quando a placa bacteriana se forma em função do acúmulo de resíduos de alimentos, as bactérias liberam ácidos que corroem o esmalte dentário. É dessa maneira que se forma a cárie — e ainda pode acontecer de as bactérias se instalarem nas gengivas e provocarem a gengivite. A posição inadequada dos dentes também pode levar ao desgaste do esmalte, o que provoca a sensibilidade (dor ao frio ou calor).
6. Mastigação mais eficiente
As arcadas dentárias superior e inferior atuam de forma harmônica e complementar durante a mastigação. Cada grupo de dentes apresenta a sua função e todos são essenciais para que o alimento seja triturado adequadamente.
Quando os dentes estão tortos isso não acontece e ainda pode haver a sobrecarga sobre alguns deles, que acabam cumprindo a função daqueles que estão mais desalinhados. Como consequência, além de a comida ser enviada para o estômago em pedaços maiores, há o esforço extra da musculatura e das articulações.
A ortodontia corrige esses problemas realinhando tanto os dentes como os ossos, possibilitando que haja o perfeito encaixe dos maxilares. Dessa maneira, cada dente volta a cumprir o seu devido papel e não há o degaste da articulação temporomandibular (DTM).


7. Evitar dores de cabeça
Problemas de mordida e de mastigação podem causar fortes tensões musculares que têm como consequências dores de cabeça. Por isso, tratamentos ortodônticos que corrijam esses problemas também ajudam a diminuir ou eliminar estes sintomas.
© Copyright Santa Apolônia Odontologia