Cirurgias Gengivais Corretivas
Gengivoplastia
Cirurgia Plástica Gengival
A cirurgia plástica gengival visa a corrigir defeitos na gengiva, devolvendo a estética e melhorando a saúde ao redor dos dentes ou implantes
Os problemas que mais incomodam os pacientes são as retrações gengivais, com exposição da raiz do dente, o que pode causar dor e desconforto. Isso também pode prejudicar a beleza do sorriso.
A solução para esses casos é o recobrimento radicular com enxerto gengival. A técnica que apresenta melhores resultados estéticos é aquela que utiliza enxertos retirados do da boca, chamados de subepiteliais, pois utiliza apenas uma delicada camada de tecido que fica embaixo do conjuntivo.

Essa prática não cria nenhum tipo de defeito nem costuma causar dor no pós-operatório. Em dentes para os quais essa técnica é indicada e o trabalho bem realizado, os resultados são fantásticos. Otimiza-se a estética e a sensibilidade desaparece.
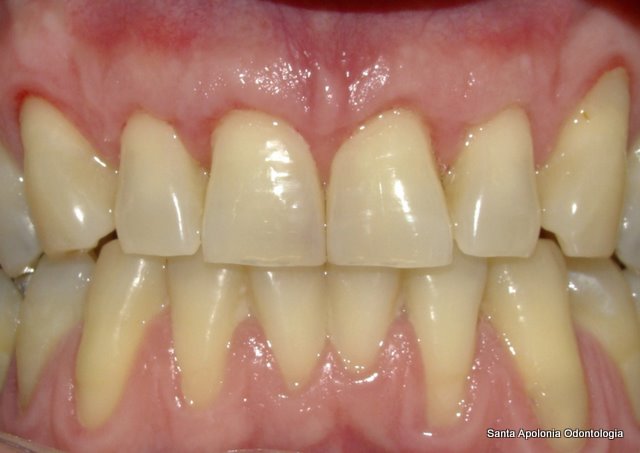
Outro Caso
Caso de recessão generalizada com exposição radicular e sensibilidade dentário
Mesmo caso logo após a cirurgia

