A Cirurgia Periodontal

Augusto de Sousa e Silva CD
Especialista em Periodontia
O dentista especialista pode avaliar a saúde periodontal (gengival) de cada paciente e realizar o correto tratamento. Os tratamentos podem ser clínicos e/ou cirurgicos.,
Quando a periodontite se agrava e não pode ser resolvida somente com Orientação clínica e profilaxia supragengival, procedimentos cirúrgicos podem ser indicados. (Ver Periodontia)
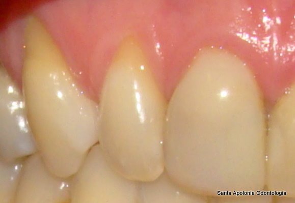
Cirurgia para recuperação da gengiva em volta do dente (periodontal)
Quantas vezes nos escutamos histórias de dentes bons que caem sozinhos. Pois é, trata-se da doença periodontal. Esta é silenciosa, e a dor só aparece quando a doença já esta avançada. São nestes casos que os dentes são perdidos facilmente.
Trata-se de um problema crônico, que precisa de tratamento constante. Quando uma pessoa descobre que tem Diabetes, nunca mais ela deixa de tratar com seu médico. Quando se tem problemas gengivais sérios, o mesmo deve ser feito.
Como surge a doença periodontal? O que causa a doença são as bactérias presentes na boca (especificamente a placa bacteriana que gruda ao redor do dente).
Quando não escovamos os dentes corretamente (a maioria das pessoas faz isso errado), a placa se acumula em volta dos dentes. Ali ela é endurecida pelos minerais da saliva, se transformado em cálculo. Esta não sai mais com escova. Só com raspagem. Assim começa a doença periodontal.
A raspagem é faz parte de um tratamento conservador, realizada através de ultrassom e instrumentos manuais.
E a Cirurgia Periodontal?
Quando o problema se torna grave demais, não sendo resolvido somente com raspagens, procedimentos cirúrgicos podem ser indicado. Estes vão de enxertos ósseos ou gengivais para recuperar o dente até extrações de dentes condenados.
Apesar do implante realizar seu papel de substituir o dente com excelência, nunca serão tão bom quanto um dente. Entretanto, dentes condenados por problemas periodontais devem ser extraídos o quanto antes.
Desta maneira além de eliminarmos um foco de infecção no organismo, preservamos o osso em volta do dente perdido, pois ele é fundamental para a terapia com implantes.
Tratamento da Periodontite
Clínico:
-
Orientação clínica e profilaxia supragengival
Tratamento Cirúrgico
-
Raspagem e Curetagem Sub Gengival
-
Acesso cirúrgico para
-
Melhorar o acesso à higiene
-
Facilitar o acesso para raspagem
-
Reduzir a bolsa periodontal
-
Tratamento cirúrgico periodontal não periodontite
-
Cirurgias Corretivas
-
Gengivoplastia
-
Cirurgia Plástica Gengival
-
Cirurgias para facilitar a terapia restauradora
-
Aumento de Coroa Clínica
-
Enxertos Gengivais
-
Enxertos Ósseos
Gengivoplastia
Gengivoplastia é o nome dado à cirurgia plástica que corrige a gengiva e o sorriso, através da retirada do excesso de tecido gengival e reconstrução do contorno da gengiva ao redor dos dentes.
A cirurgia plástica gengival
A cirurgia plástica gengival visa a corrigir defeitos na gengiva, devolvendo a estética e melhorando a saúde ao redor dos dentes ou implantes..
Os problemas que mais incomodam os pacientes são as retrações gengivais, com exposição da raiz do dente, o que pode causar dor e desconforto. Isso também pode prejudicar a beleza do sorriso.


Aumento de Coroa Clínica
Existem também situações em que a lesão de cárie ou alguma fratura dentas se encontra debaixo do tecido gengival.
Estas lesões subgengivais impedem a restauração ou a colocação de próteses.
Assim, é necessário o aumento de coroa clínica, uma cirurgia Periodontal bastante comum .
Nestes casos para se realizar a restauração definitiva, e ganhar saúde periodontal (sem sangramentos e com uma coloração uniforme), a cirurgia é a melhor possibilidade.
Enxerto Gengival
Por diversos motivos os dentes e os implantes também podem necessitar de enxertos.
Quando existe uma fina camada de tecido gengival no local do dente perdido, o enxerto poderá ser realizado.
O objetivo desse trabalho é aumentar a espessura da gengiva.
Dessa maneira teremos uma melhor proteção mecânica ao redor dos implantes, facilitando a escovação da área – aumentando a longevidade do tratamento.
Também podermos melhorar a estética do sorriso com plásticas peridontais ao redor de dentes sobre implantes.
O enxerto ósseo dentário
Pela doença periodontal e pela perda de dentes podem ocorrer perdas dos dentes e ossos alveolares, ocasionando a diminuição da gengiva.
O Enxerto ósseo é um procedimento cirúrgico que é utilizado para reconstruir a área que perdeu altura ou espessura.
O material para a realização do enxerto ósseo pode ser autógeno, de osso liofilizado ou sintético e a indicação depende de cada caso e de cada paciente.
O procedimento é indicado para pacientes que possuem diagnóstico de perda óssea que prejudicam a estética e a função ou que buscam fazer um implante dentário.
O paciente através do enxerto ósseo resolve diversos problemas funcionais e estéticos.
O período de cicatrização e regeneração varia de paciente para paciente, mas normalmente é necessário aguardar por 4 a 6 meses a fim de avaliar o sucesso do procedimento.