Ranger e Apertar os Dentes - (Bruxismo)
x
x
-
O Bruxismo é o ato de apertar,ranger ou bater os dentes e/ou manter tensa a musculatura da mastigação. Se estamos acordados, temos o bruxismo da vigília, se dormindo, bruxismo do sono.
-
O Bruxismo é um inimigo oculto porque na maioria das vezes não percebemos este habito.
-
Assim, além de tratar os dentes e a gengiva, precisamos conversar com o dentista sobre a possibilidade do Bruxismo.
-
O Bruxismo estraga a saúde de nossos dentes, tanto quanto a carie e a doença gengival, causando dor, fraturas e desgastes.
-
O bruxismo tem tratamento tanto o da vigília quanto o do sono.
-
O bruxismo do sono pode estar ligado a um distúrbio respiratório.
- x
x
x
Bruxismo um dos inimigos de nossos dentes
x
x
O paciente procura o dentista para tratamento, e suas queixas principais são: A Carie e o sangramento gengival, de origem bacteriana.
-
É possível evitar a carie e doença gengival mas, mas sem orientação
-
profissional, muitas vezes não conseguimos evitar inimigos dos dentes e serviços odontológicos.
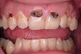
A carie e a doença gengival
Na década de 70, o professor Dr Carlos Alberto Dotto, divulgou, através de curso atualização em Periodontia, as técnicas de prevenção baseadas na Placa Bacteriana.
Desde então o dentista pode, com sucesso, ensinar seu paciente como evitar a cárie, e a doença periodontal.
É preciso escovar os dentes, isto ficou todos sabem, mas existe uma técnica especial de escovação, que o paciente precisa saber, para evitar a placa bacteriana prevenido a Carie e os problemas Periodontais.

Carie por placa bacteriana
x
O dentista resolve a queixa principal do paciente, as caries e a doenças gengivais, com o tratamento dentário e lembra que é preciso escovar.
A saúde dos dentes, a durabilidade dos tratamentos executados e a saúde bucal, dependem da manutenção, realizada pelo paciente em casa, no combate à placa bacteriana.
O paciente também normalmente não leva em conta um outro grande inimigo de nossos dentes, o Bruxismo ... Muitas vezes não conhece e/ou não percebe que tem bruxismo e as vezes Bruxismo passa despercebido.
Se isto acontece o Bruxismo não é incluído em suas queixas e pode ser que não seja tratado.
Ainda existe outros fatores não bacterianos, e não bruxismo, como a ingestão de alimentos ácidos, a escovação inadequada com escovas muito duras e cremes dentais abrasivos, o uso de certos medicamentos e drogas entre elas o cigarro e o álcool.

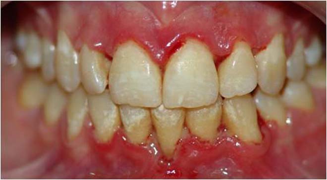
Gengivite por placa bacteriana
x
x
Conheça o Bruxismo
Bruxismo é o ranger e apertar os dentes e/ou contrair a musculatura mastigatória sem motivo aparente.
Causa a destruição constante dos dentes e serviços odontológicos e agrava as doenças periodontais.
O Bruxismo também pode predispor à disfunção nos músculos mastigatórios, dor na articulação da mandíbula, dor facial, de cabeça, e alterações na língua e mucosas.
x
x
Bruxismo do Sono
O tipo mais conhecido é o Bruxismo do sono, ocorre durante o sono.
ortes contrações involuntárias da musculatura mastigatória que fazem bater os dentes uns nos outros, causando ruídos, fraturas, e desgastes dentais.
O Bruxismo do sono é comum na infância pelos surtos de desenvolvimento ou por distúrbios respiratórios do sono infantis que precisa ser investigado.
Nas crianças chega a 20%, diminui com a idade mas passa a ser mais prejudicial aos dentes, agora permanentes.
O Bruxismo do Sono pode ser causado por apneia do sono e requer uma placa de mordida especial para apneia e bruxismo.
x
Bruxismo da vigília
Existe também o Bruxismo em vigília, BV, ocorre em 20% da população, quando se está acordado.
O BV é hábito de apertar ou raspar os dentes durante os momento de estresse e concentração sem que a pessoa perceba.
Abfração pelo Bruxismo
Isto causa destruição semelhante ou maior a do Bruxismo do sono.
Neste tipo de Bruxismo é muito comum a abfração, desgastes dos dentes próximo as gengivas, que causam hipersensibilidades dentárias.
Embora os efeitos sejam parecidos o Bruxismo do Sono e o da Vigília tem características fisiopatológicas e tratamentos diferentes.
x
x
x
Tratamento do Bruxismo do Sono e da Vigília
x
x
São diversas opções de tratamento do Bruxismo e os menos invasivos são os mais indicados.
O dentista por meio de um exame clínico apurado identifica os fatores que contribuem para o Bruxismo.
O tratamento odontológico, que consiste basicamente na utilização de placas intraorais de uso noturno, ajustes oclusais e farmacoterapia, com a utilização de medicamentos antidepressivos, relaxantes musculares, e etc.
Além disto lança mão de orientações comportamentais, de técnicas de relaxamento, para o tratamento da ansiedade, do estresse, e do hábito de apertar e ranger os dentes.
x
A aplicação de toxina botulínica é invasiva e de efeito temporário mas pode ser usadas em casos graves.
No Bruxismo do sono, o dentista habilitado, verifica se existem distúrbios do sono a apneiae procede o tratamento destes distúrbios.
Além disso, as terapias alternativas, como acupuntura, homeopatia e fitoterapia e até mesmo a hipnoterapia podem ser úteis.
x
x
A inconsciência do Sono
x
x
BRUXISMO & APNEIA
A apneia obstrutiva do sono é uma das causas comuns do Bruxismo do Sono. O paciente ao ter uma pausa respiratória dormindo, ativa o sistema nervoso de alerta, para voltar a respirar, senão morre.
No esforço para voltar a respirar em alguns acaso range e aperta os dentes num movimento abrupto para avançar a mandíbula e a língua que pelo relaxamento do sono o estavam afogando.
Além de estragar os dentes, situação deixa o paciente exposto a doenças fatais como por exemplo, a hipertensão arterial, a angina, o infarte, o derrame cerebral e acidentes pela sonolência excessiva diurna.
Língua volumosa uma das causas do Ronco e Apneia
x
TRATAMENTO
O dentista especializado em Odontologia de Sono pode tratar e orientar o tratamento de diversos distúrbios do sono.
No caso do Bruxismo associado à Apneia do Sono, em casos selecionados o tratamento consiste numa placa de mordida especial para a Apnéia e Bruxismo do Sono.
Placa especial para Bruxismo e Apneia
Na Clínica Santa Apolônia podemos resolver seu caso de Bruxismo.
x
x




